Cosmetic Dentistry
When the cost of cosmetic dentistry gets too high in your own backyard, what do you do? Patients throughout Canada and the U.S. have all settled on the same answer: visiting Supreme Dental.
Our high-tech Los Algodones, Mexico, practice offers popular procedures like veneers, crowns and teeth whitening at a better price – without sacrificing quality.
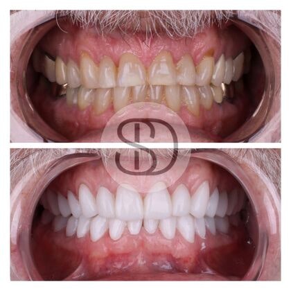
A Stunning Smile That Looks Entirely Natural

Wondering the secret to this cosmetic dentistry patient's transformation? We placed 28 zirconia dental crowns over his teeth, allowing us to create a brighter and more uniform-looking smile.
Because of our lifelike materials and precise planning, people likely won't realize he has undergone cosmetic dentistry at all. Plus, our Los Algodones dental office features advanced CEREC® milling technology to craft custom crowns.
Cosmetic Dentistry: Exploring Treatments in Los Algodones, Mexico
Unhappy with gapped teeth, tooth discoloration, or misshapen teeth? At our Los Algodones practice, you can rejuvenate the appearance of your smile with cosmetic treatments like:
- Smile Makeovers
- Dental Crowns
- Veneers
- Teeth Whitening
- Enamel Contouring
- Dental Bonding
If you're still apprehensive about seeking the cosmetic dentistry treatments you desire, it may help to know that we feature oral conscious sedation. That way, you're entirely at ease throughout your visit.
Smile Makeovers Can Do It All
Our Los Algodones, Mexico, office offers an efficient way to address all your insecurities at once: a smile makeover. This treatment is a custom plan that includes multiple treatments. From porcelain veneers, to teeth whitening, to enamel contouring, we can create an effective, comprehensive strategy to completely transform your teeth.
Save Money Without Sacrificing Quality
We're known for our high caliber of results — and that doesn't happen accidentally. Our Los Algodones, Mexico, dentists stand out thanks to our:
Hospitality
Going to our Mexico practice doesn't have to feel like a routine dentist visit. We offer thoughtful hospitality to make your experience as relaxing as possible. Optional services include border shuttles and escorts, as well as comfortable hotel suites complete with concierge assistance.
Training
Our Los Algodones dentists continue to earn new certifications to expand their knowledge. They pursue advanced training to benefit you, too. Not to mention, they even travel all over the world to learn about the latest updates in dental techniques, including symposiums in Switzerland.
Affiliations
Finally, we maintain dental affiliations with some of the same trusted organizations your premier local dentist may be connected with, such as the American Academy of Cosmetic Dentistry.

This Patient Is Thrilled With Their Cosmetic Dentistry Results
“I had 28 crowns placed and was so impressed with Supreme Dental! Dr. Elias and his team made me feel completely comfortable and my results are incredible! I highly recommend their services!”
Rich Nowak
Financing Turns Dreams into a Reality
Though we offer more affordable cosmetic dentistry treatments, you may still need a little help fitting them into your budget. We completely understand and we want to empower you to take confidence in your smile.
That’s why we’re excited to offer Plan Pay Smile, our new in-house financing option, as well as SoFi. With Plan Pay Smile, you can arrange your payments directly through our office for a smooth and easy process. Or, if you’d like, you can apply with SoFi and get a response within one business day.
Frequently Asked Questions About Cosmetic Dentistry
Q: What is cosmetic dentistry?
Cosmetic dentistry focuses on improving the appearance of your teeth and smile. These treatments address concerns such as stains, chips, gaps, worn teeth, or uneven tooth shapes to create a more balanced and attractive smile.
At Supreme Dental Clinic in Los Algodones, cosmetic dentistry may include procedures like veneers, teeth whitening, dental crowns, bonding, and enamel contouring. Our dentists carefully plan each treatment to enhance the look of your smile while preserving natural tooth structure and maintaining healthy function.
Q: Does dental insurance cover cosmetic dentistry?
Purely cosmetic dental treatments are not covered by insurance. Procedures performed only to improve the appearance of your smile, such as teeth whitening or veneers, are typically considered elective.
However, treatments that provide both cosmetic and restorative benefits, such as crowns or certain dental repairs, may qualify for partial coverage depending on your insurance plan. Our team is not in-network with insurance, but we help you submit documentation that can maximize any available reimbursement.
Q: How much does cosmetic dentistry cost?
The cost of cosmetic dentistry varies depending on the procedures included in your treatment plan. Simple treatments like teeth whitening are typically more affordable, while comprehensive smile makeovers involving veneers or crowns require a larger investment.
Our advanced technology, in-house dental lab, and experienced dentists allow us to deliver high-quality results that give you excellent returns on your investment in cosmetic dentistry.
Q: Is cosmetic dentistry a dental specialty?
Cosmetic dentistry is not officially recognized as a separate specialty by the American Dental Association. Instead, many general dentists pursue advanced training and continuing education in cosmetic techniques to develop expertise in smile enhancement procedures.
At Supreme Dental Clinic, our dentists regularly participate in international training and maintain affiliations with respected organizations such as the American Academy of Cosmetic Dentistry. This commitment to ongoing education helps us deliver natural-looking cosmetic results for our patients.
Q: Why choose Supreme Dental Clinic for cosmetic dentistry?
Patients from the United States and Canada choose us because our highly trained dentists use advanced cosmetic dentistry technology to provide consistently superior results. Our Los Algodones practice offers treatments like veneers, crowns, and smile makeovers using high-quality materials and precise digital planning.
In addition to expert care, we provide a comfortable dental tourism experience with concierge-style services, modern technology such as CEREC crown milling, and a team that continually trains in the latest cosmetic techniques.


